심뇌혈관센터
AI탑재 하이엔드 혈관조영장비와 우수한 의료진으로 생명을 지킵니다.
더자인병원 심뇌혈관센터
심근경색, 뇌졸중 등 심뇌혈관질환은 생명에 직접적인 영향을 주는 중대한 질환입니다. 심뇌혈관질환과 관련된 증상이 나타나면 즉시 병원에 방문해야만 합니다. 매우 심각한 질환이기 때문에 우수한 혈관조영장비와 시술 경험이 많은 의료진이 상주하는 병원을 선택하는 것이 좋습니다.
이런 증상이 나타나면 꼭 병원을 방문하셔야 합니다.
뇌졸증 증상 : 한쪽마비, 갑작스러운 언어장애, 갑작스러운 시야장애, 갑작스러운 심한 두통, 갑작스러운 어지럼증
심근경색 증상 : 갑작스런 가슴 통증, 식은땀, 구토, 현기증, 호흡곤란, 통증확산
대학병원 이상의 하이엔드 장비
시술 경험이 풍부한 의료진
장비 소개
차세대 AI 혈관조영장비
Phillps 7B 20/15 AZURION
기존 혈관조영장비를 보완해 보다 선명한 영상과 치료를 가능케한 최첨단 AI 탑재 장비
주요 시술 목록
뇌혈관 조영술
뇌동맥류 색전술
관상동맥 조영술
말초혈관 조영술
투석혈관 중재시술
![]() |
뇌혈관 조영술 |
|---|
![]() |
뇌동맥류 색전술 |
|---|
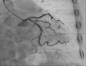
![]() |
관상동맥 조영술 |
|---|
![]() |
관상동맥 중재술 |
|---|
![]() |
투석혈관 성형술 |
|---|








